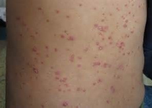
天津津门医院皮肤科医生介绍:引起牛皮癣的原因有很多,也因为引起牛皮癣的原因不同,治疗的情况也会不同,所以患者在治疗牛皮癣的时候,先要到医院进行检查后在进行治疗,以免被误诊,导致病情恶化,病情加重。

牛皮癣的原因有哪些
过敏因素----过敏是引起牛皮癣的重要原因之一。因为吃了一些不该吃的食物或服用一些不该服的药物,或接触某种能够引起过敏的物质,这些都是诱发牛皮癣的发生。
防感染----身体皮肤的局部受到感染后,从而诱发牛皮癣的牛皮癣的产生,特别是感冒以后,引发的一些炎症,例如:扁桃体炎、气管炎,这一些都需要进行治疗,以免引起其他的疾病产生。
精神因素----平时没事的时候要过度的紧张,性情要放松,不要做一些太过剧烈的运动,导致患病处的皮肤破裂,好的心情也是预防疾病的一种。
受潮着凉----有好多牛皮癣患者是有受到风寒引起,所以患者要保持室内空气流畅,室内要干燥通风,如果空气太湿的话,很容被细菌感染导致疾病的发生。
